有“痔”不在年高,不同痔的区别是什么?

“想去洗手间…活还差一点点就干完了,等一下…等一下…”
“生冷辛辣,油炸烧烤。
怎么刺激怎么来,开炫!!!”


“再看完一章就从马桶上起来…”
“只要赢一局就睡!!!”
这时候一个默默观察者
发出尖锐的爆鸣声
菊花:没人在乎我这个脆脆鲨是吗

你怕是想不到
不知不觉
痔就开始发生了


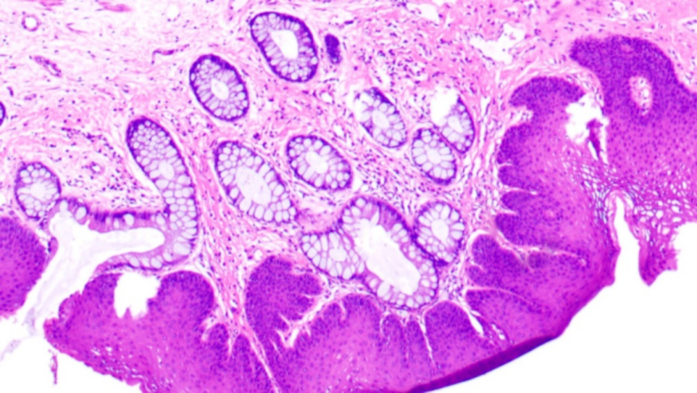
痔发生于肛管,是直肠静脉丛血流淤滞,静脉扩张的结果,分为外痔和内痔。
在齿状线以上的肛管粘膜结构和直肠相似,但在肛管上段有纵行皱襞(肛柱)。在齿状线处,单层柱状上皮骤变为轻度角化的复层扁平上皮,肠腺和粘膜肌消失。
白线以下为和皮肤相同的角化复层上皮,含有很多色素;固有层中出现了环肛腺(顶泌汗腺)和丰富的皮脂腺。肛管粘膜下层的结缔组织中有密集的静脉丛。

组织学上,痔的特征为:扩张的粘膜下血管,血管壁或薄或厚,可以伴有血栓形成、出血和再通。

外痔源自齿状线下的直肠外/下静脉丛,肛管粘膜及肛缘皮下呈现暗紫色肿物,被覆皮肤或鳞状上皮粘膜。

内痔源自齿状线上的直肠上静脉丛,直肠下端粘膜呈暗红色或紫蓝色结节状隆起,广基或有蒂,被覆直肠和移行带粘膜。


混合痔为内痔通过丰富的静脉丛吻合支与相应部位的外痔相互融合而成。病理变化同内、外痔。

事已痔此多提肛
菊花娇嫩世无双
放下手中的手机
开始提肛10次保护菊花吧




闽公网安备