结石不痛=没事?小心这个“潜伏者”偷偷吞噬你的肾功能

55岁的程先生10年前因突发腰痛就诊,B超提示“左输尿管上段结石(0.5 cm)伴左肾轻度积水”,医生建议定期复查,若结石迟迟排不出来,可考虑微创手术治疗,程先生未予以重视,工作一忙便将此事抛之脑后,后期偶有酸胀不适,考虑没有明显的疼痛,也未处理。
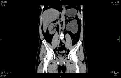
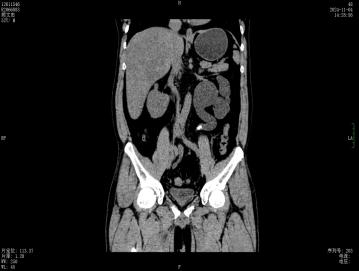
今年8月起,左腰部酸胀频繁不适,这才想起医生曾经的叮嘱,后找到深圳市罗湖区人民泌尿外科姜刚刚副主任医生门诊就诊,行CT检查发现整个左肾重度积水,而结石仍旧卡在输尿管内,最终只能无奈手术切除没有功能的左肾。






什么情况下肾结石不会痛呢?
如果结石老老实实地待在宽敞的“水池”(肾盂或肾盏)里,没有造成堵塞,尿液可以绕开它顺利流走,那么你可能就完全感觉不到它的存在。或者,结石长期堵塞已经让肾脏功能严重受损甚至“报废”,肾脏已经不工作、不产生尿液了,没有压力,自然也就不会疼痛了。
所以,不痛≠ 没事。沉默,往往意味着更大的阴谋。当上尿路结石位于肾脏或嵌顿在输尿管时,其处于静止稳定状态,这类结石就表现为无症状,或腰背部轻度的胀痛,常因体检发现。这类结石常常容易受到大家的忽视,但其可能对患者的健康威胁更大。
不痛的结石危害表现

01.
偷偷“淹死”你的肾
肾积水就像水管堵塞会导致水池溢水一样,结石堵塞了尿路,尿液排不出去就会回流,导致肾脏被越撑越大,这就是“肾积水”。长期的积水会像泡在水里一样,压迫并损坏肾脏的实质细胞,导致肾功能永久性丧失。
02.
让肾脏“中毒”衰竭
感染和脓肾淤积的尿液是细菌滋生的完美温床。一旦继发感染,就会引发高烧、寒战,甚至发展成“脓肾”(肾脏里全是脓液)。这不仅会加速肾功能破坏,严重时感染扩散至全身,会引发尿源性脓毒血症,这是一种死亡率极高的危急重症。
03.
沉默的“癌变”催化剂
长期存在的结石,尤其是大的鹿角形结石,其慢性刺激会增加肾脏黏膜发生癌变的风险。等到因为癌变出现症状时,往往为时已晚。

罗湖区人民泌尿外科
姜刚刚副主任医师提醒

NO.1
定期体检是关键!
无论疼不疼,每年做一次泌尿系统B超是发现“沉默结石”最简单、经济且有效的方法。这是对自己健康最基本的负责。这些症状也是警报!
除了剧痛,反复出现的轻微腰酸腹胀、肉眼看不见的镜下血尿(体检尿常规可发现)、不明原因的反复发烧,都可能是沉默结石发出的微弱信号,务必警惕。
NO.2
多喝水是最好的预防!
保证每天饮水量(白开水)在2000ml以上,保持尿液清亮淡黄。多喝水、多排尿,可以有效稀释尿液中形成结石的物质,是预防结石形成最廉价且最有效的方法。
总结一句话
痛的结石是“明枪”,虽然难受但易躲;不痛的结石是“暗箭”,沉默无声才最致命。请不要忽视身体里的任何一颗“沉默的石头”,定期检查,防患于未然,保护好我们宝贵的肾脏!
下一篇:没有了